中国排名前20位火电厂之第15位—辽宁葫芦岛绥中火电厂
中国排名前20位火电厂之第15位—辽宁葫芦岛绥中火电厂
本系列介绍截止2016年中国排名前20位火电厂,欢迎关注交流。

绥中火电厂位于辽宁省葫芦岛市绥中县前所镇,渤海辽东湾北岸、辽宁省和河北省交界处,山海关以东的辽西走廊西端,东经120° 01'、北纬40°05',由绥中发电有限责任公司建设运营,是联接华北和东北电网的重要电源支撑点。总装机规模376万千瓦,其中一期工程经扩能后装机176万千瓦(2×88万千瓦),二期200万千瓦(2×100万千瓦)。

绥中火电厂卫星影像
绥中火电厂一期工程(发电A厂)安装两台由俄罗斯引进的80万千瓦超临界燃煤机组,1990年立项,1993年开工,2000年双机投产,填补了当时我国百万千瓦级火电机组零的空白,工程总投资105亿元,后机组改造扩容为88万千瓦每台。

绥中火电厂(来源网络)
绥中火电厂二期工程(发电B厂)于2007年8月开工。2008年3月得到国家发展和改革委员会正式核准,安装两台1000MW超超临界燃煤机组,其中一台机组于 2009年12月投产,另一台机组2010年5月投产,为当时东北地区单机容量最大的两台机组。工程创下了国内百万机组锅炉热端首次采用超级304钢材、国内首例设计和应用C80接卸牵车台、国内电力建设中首次使用760高标号混凝土等多项第一和单位投资3337元/千瓦的百万机组投资控制最低记录。

绥中火电厂(来源网络)
绥中发电有限责任公司成立于1998年,现由神华国华国际电力股份有限公司以50%的股权实施控股管理,辽宁能源投资(集团)有限责任公司、中国神华能源股份有限公司分别占35%和15%的股权。

绥中火电厂(来源网络)
(本排名按照相关资料376万排名为15位,本文查询到的资料为装机360万,按360万千瓦排名应为全国第19位)
绥中发电厂就在我们东戴河海边呀,风景那也是一级的棒,欢迎关注,欢迎来玩儿~
喜欢就点个赞吧!
标签:
171
王者荣耀:真正实现又肉又有输出,国服梦奇的顶级思路教学 众所周知,王者荣耀的梦奇,虽然出场率不高,但强度是一直在线。本期教学我将从三个方面去讲解,让你的王者之旅充满...
194
吊屈原赋———贾谊(屈贾之谊) 谊为长沙王太傅,既以谪去,意不自得;及度湘水,为赋以吊屈原。屈原,楚贤臣也。被谗放逐,作《离骚》赋,其终篇曰:“已矣哉!国无人兮,莫...
96
带你参观雄伟壮观的洞庭湖大桥 今天见到l的是洞庭湖大桥,说到洞庭湖大桥的独特壮观和雄伟,关键因为它是时下我国横跨洞庭湖的公路桥梁,并且是一座三塔双索面悬索桥梁,亚洲...
116
lol神秘魔偶惊喜魔偶怎么出 lol神秘魔偶抽奖技巧总结及惊喜魔偶抽取规则 lol神秘魔偶惊喜魔偶怎么出?神秘魔偶奖励是什么?今天是12月3日了,lol英雄联盟抽奖活动将来12月6日停止,还没...
147
12个很火的情感语录,句句走心 1.要是能重来,初见你的瞬间,我定会转身逃离。 2.未来一片敞亮,愿你下次落泪,皆因幸福满溢。 3.细节处崩溃,人前强装欢,成年人的心酸谁懂?...
163
《180天重启计划》首播口碑爆棚,浪漫时刻 《180天重启计划》首播口碑爆棚,温情与笑料共舞。2025年2月17日,电视剧《180天重启计划》在芒果TV正式上线,首播便引发了观众的热烈反响...
95
支付宝2025年集福活动官宣1月20 日开启,玩法有什么变化? 12月 31 日消息,支付宝官方发文宣布,2025 年春节集福活动将于 1 月 20 日正式开启。与往年不同的是,今年的五福推出了新的...
125
鞋子牛筋底好还是橡胶底好?古伊萨(GUYISA)带你一起涨知识 耐穿性上看,牛筋底和橡胶底不相上下。 橡胶底具有强大的防化学品腐蚀性能和耐物理磨损性能,可经受多次弯曲,拉伸...
167
王者荣耀:梦泪都要俯首称臣的真正大佬,魔神哥到底是何方神圣? 8月以来,各大直播平台一直动作分频繁,主播转平台风波不断。之前@虎牙直播 官方微博又一次宣布将有一位神秘大...
65
河北衡水昆仑大酒店 今天路过河北衡水大酒店,拍了一些照片,给大家介绍一下河北衡水昆仑大酒店。 衡水昆仑大酒店位于衡水市和平路与自强街商业交汇处的核心位置,是一家布局...
67
广东名菜三杯鸭,没有你想象中的难,像我这样做简单又好吃 好久没吃鸭子了,今天买了半只回来,做了道三杯鸭,香而不腻,可好吃了。 制作三杯鸭一般选用老鸭,肉质紧实且不油...
92
白帽子在工地什么级别?白帽子说了算,不同颜色的帽子代表什么 我们在工地时发现每个人戴帽子的颜色不一样,尤其是当戴白色帽子的人来到工地的时候,很多人对他都毕恭毕敬的,...
140
西安曲江池边有个“寒窑” 走四方 京剧《红鬃烈马》,讲述了王宝钏和薛平贵的爱情故事: 唐懿宗年间,宰相王允的三女儿王宝钏,抛绣球选中一贫如洗的薛平贵,不顾父母亲的强烈...
127
民国时期的钱币(原创) 家里祖上传下来了一些中华民国时期的老钱币,这些钱币的面值有大有小,最小的是一元,最大的是二万五千元,虽然钞票的颜色各异,但是图案却是没有什么...
160
江苏:南通火车站 南通站位于江苏省南通市崇川区永兴大道,是中国铁路上海局集团有限公司管辖的铁路车站,是宁启铁路的中间站。 截至2016年5月,南通站站房总建筑面积11740.6平方...
189
茅台防伪一眼识真伪——茅茅查小程序 “茅台防伪,不再复杂。茅茅查,让每一瓶茅台防伪都清晰可见。” 茅茅查小程序,一个专为茅台酒爱好者和专业鉴定师打造的防伪查询工具。...
91
绿色过春节 低碳新风尚 ⑦ 【来源:晋城环保发布】 过环保绿色年 低碳居家 春节是充满欢乐、阖家团圆的时刻,寒冷的天气使得人们长期居家生活,各类能源消耗大幅增加。在我们居...
161
《东京喰种》人物介绍:和修常吉 和修常吉 日本漫画《东京喰种》及其衍生作品中的角色 和修常吉,日本漫画《东京喰种》及其衍生作品中的角色,喰种对抗局(CCG)总议长。作战经...
61
章子欣母亲首露面 确认女儿溺水死亡!整件事疑点也太多了吧? 来源:楚秀网 章子欣母亲首露面 确认女儿溺水死亡!整件事疑点也太多了吧? 7月14日凌晨4点,章子欣的母亲曾女士从...
116
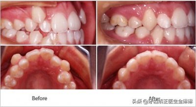
牙齿正畸前后变化大吗?带你看牙齿矫正变化图 牙齿正畸结果是否明显,一般从照片就能看出,所以通常在术前是需要对牙齿基本情况进行拍照的。矫正完成后就能对比看出变化,那么...