透明细胞肉瘤(哪些肉瘤容易出现淋巴结转移?)
肉瘤一般容易肺转移,但某些肉瘤的淋巴结转移一定不能忽视:
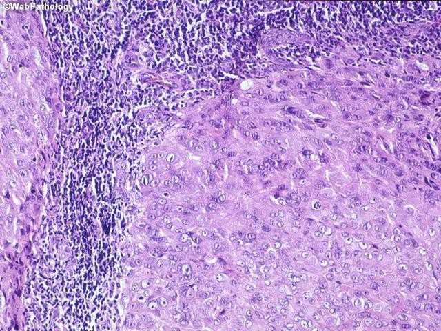
透明细胞肉瘤:发病率低,占所有软组织肉瘤的1%,但发生区域淋巴结转移较多,约1/3病人出现区域淋巴结转移。一旦出现区域淋巴结转移,很多时候在2年内就会发生远处转移。
滑膜肉瘤:发病率相对高,占所有软组织肉瘤的5-10%,30%病人的发病年龄在20岁之前。2-17%病人出现区域淋巴结转移。
横纹肌肉瘤:儿童和青少年最常见的软组织肉瘤。14%儿童病人和40%成年病人可出现区域淋巴结转移。
上皮样肉瘤:发病率低,占所有软组织肉瘤不到1%。主要累及上肢的远端。20-30%可出现淋巴结转移。

标签:
80
人的大脑有五个主要的功能 人的大脑有五个主要的功能,分别是记忆的功能、情感和情绪、认知功能、感觉的功能和控制运动的功能。大脑为神经系统最高级部分,由左、右两个大脑半...
98
强渡大渡河和飞夺泸定桥是一回事吗 强渡大渡河和飞夺泸定桥不是一回事,先有强渡大渡河才有飞夺泸定桥,这两次战斗的区别是,强渡大渡河是在四川省的石棉县安顺场,飞夺泸定桥...
70
腾格尔上《蒙面唱将猜猜猜》是哪一期 腾格尔蒙面唱将猜猜猜是哪一期 《蒙面唱将猜猜猜》第20251029期,即《蒙面唱将猜猜猜》第二季第八期,腾格尔代号:妖精放了我爷爷,“妖精放...
197
慢三步舞基本丈母步教学 慢三步舞基本步法是:男士右手放在女士的肩甲位置,女士左手搭在男士的肩膀上或大臂位置。跟紧音乐节拍,把握节奏。 准备步是男士后退步,女士上前进...
84
沙之守卫泽拉斯大招怎么释放 泽拉斯大招施法方法如下所示: 首先进入英雄联盟游戏对局中,在泽拉斯到达六级之后升级大招,选择一个比较安全的敌方,按下大招r键,然后鼠标左键...
185
上海交大博士含金量高吗 上海交通大学博士的含金量是相当高的 上海交通大学是国内的知名大学也是985高校,即使放到全世界上海交通大学,也是具有排名的,尤其是其理科特别有名...
182
施华洛月光石手链正确戴法 施华洛月光石手链应佩戴左手,因为传统习气,左进右出。佩戴左手可以吸收月光石的功效。无论是从心理还是身心的体验都是不错的,另外佩戴左手可以更...
55
斯蒂庞克是不是别克 不是 斯蒂庞克是中文音译,英语为Studebaker,斯图贝克(德国姓氏),也称史都德贝克。 Studebaker是一家美国马车汽车造商,也为军队设计过制造过装甲车辆。该公...
169
四时田园杂兴其一古诗 《四时田园杂兴·其一》宋·范成大 昼出耘田夜绩麻,村庄儿女各当家。 童孙未解供耕织,也傍桑阴学种瓜。 译文 白天去田里锄草,到了夜晚回来搓麻绳,农家...
106
通辽五中升学率 通辽第五中学是内蒙古自治区示范性高中,通辽重点高中。从以往的高考成绩看,这所学校的升学率是很高的。 它的本科率保持在80—90%左右,在今年的高考中,通辽五...
72
温拿乐队成员都有谁 温拿乐队是上个世纪七八十年代成立于香港的一个乐队,在那个年代曾经叱诧乐坛很多年,温拿乐队成员一共有五个人,分别是:谭咏麟,钟镇涛,陈友,叶志强彭...
137
夏天的舅舅扮演者 你好,在《小爸爸》中夏天的舅舅扮演者是王耀庆。 在《小爸爸》这部电视剧中饰演夏天的舅舅,是剧《小爸爸》中的“泰勒”,衣冠整洁脸带微笑镇静自若。而一...
91
香奈儿品牌简介 香奈儿是一个法国奢侈品品牌,于1910年在法国巴黎创立,至今已有上百年历史。香奈儿的产品种类繁多,有服装、珠宝饰品及其配件、化妆品、护肤品、香水等。该品...
64
我国首次火星探测任务科研成果发布 截至 9 月 15 日,天问一号环绕器已在轨运行 780 多天,火星车累计行驶 1921 米,获取原始科学探测数据 1480GB。通过相机影像和光谱数据,在着陆区...
90
李静16岁女儿黄沐尔近照曝光 与同学合影腿长吸睛 主持人李静16岁女儿黄沐尔近照曝光 7月9日,主持人李静16岁女儿黄沐尔在微博分享出一组在美国读书的日常生活照,照片中黄沐尔活...
186
宝马车停户外一下午车标被晒焦黑 8 月 13 日,上海,一名女车主吐槽,自己将宝马车停放在外面,谁知天气炎热,宝马车的车标被晒得焦黑。视频中可见该车标呈黑色,还带有油状物质...
189
“大家好,我是嫦娥六号,现在我正在月球挖土” 6 月 2 日, 嫦娥六号 成功落月,开始人类首次月背采样。 今天,@嫦娥六号月球探测器 发博↓↓ 网友:头一次见 IP 在月球的微博,厉...
123
华为芯片技术被窃取最大受益者是谁?巨大损失恐怕难弥补 据悉,在公安部的指挥下,上海警方经过深入调查,一举抓获涉嫌侵犯华为海思技术商业秘密的犯罪嫌疑人 14 名,查扣存储...
55
长沙“熊猫血”辅警胡建,4 年为 16 人点亮生命之光 RH 阴性血是一种非常稀有的血型,因极其罕见被称为 熊猫血 ,2025 年在一次偶然的献血中,长沙辅警胡建得知自己是 熊猫血 。从那...
189
挪威罗弗敦海底电缆断裂 当地时间 10 月 4 日,挪威广播电视公司报道称,从罗弗敦亨宁斯韦尔(Henningsvær)到斯沃尔韦尔(Svolvær)之间的海底电缆出现问题发生断裂。断裂发生在亨宁...